神戸市灘区六甲道の歯医者 延藤歯科クリニック
家族の未来は口から変わる
「健康道場」
新着情報
NEWS延藤歯科クリニックの
治療コンセプト
CONCEPT一生涯のお口の健康を目指す
「予防・噛み合わせ・小児育成」
の三本柱
私たちは、「できるだけ削らず、できるだけ長く自分の歯で過ごしてほしい」と願っています。そのために大切にしているのが、毎日のケアを支える「予防」、歯やあごに負担をかけない「噛み合わせ」、そして子どもの頃から健やかな成長を見守る「小児育成」です。今のお口の状態だけでなく、これからの人生を見据えながら、患者さま一人ひとりに寄り添った診療を行なっています。



延藤歯科クリニック
6つの特長
FEATURE

FEATURE 01
咬合まで見据える
先進機器による確かな診断と
精密治療
噛めない原因、口腔崩壊の原因を見きわめるための咬合専門の検査機器、CT・下顎運動測定器・セファロに加え、精密な治療を可能にするマイクロスコープ・口腔内スキャナーも完備しています。
さらに株式会社カロスや和田精密歯研株式会社など信頼性の高い技工所と連携することで、精密な技工物をご提供しています。


FEATURE 02
根本原因を究明
MTMに基づく一人ひとりの予防
開院時から予防システムを確立し、MTM(メディカルトリートメントモデル※)に基づいた診療を実践しています。唾液検査などを通じて「なぜそうなったのか」という根本の原因を究明したうえで、患者さま一人ひとりに合わせた科学的根拠に基づく予防プログラムをご提案し、お口の健康を維持するためのサポートを行ないます。
※Medical Treatment
Model=検査・診断・リスク評価・予防プログラムの立案・メンテナンスを通じた、オーダーメイドの予防管理


FEATURE 03
赤ちゃんから一緒に
家族みんなで通える歯科医院
赤ちゃんからご高齢の方まで、ご家族全員で通える歯科医院です。子どもの口腔機能発達や矯正治療に精通したスタッフが在籍するほか、口育士の資格保有者による親子教室も開催しています。バリアフリー設計かつキッズスペースを完備した環境で、治療からメンテナンスまで一生涯お付き合いさせていただきます。

FEATURE 04
スタッフ全員で支える
チーム医療による支援当院では、歯科医師・歯科衛生士・歯科助手・受付スタッフが緊密に連携し、患者さま一人ひとりを「チーム全員」で支える医療体制を整えています。各専門スタッフがそれぞれの知識と技術を持ち寄ることで、治療から予防・メンテナンスまで一貫した質の高いケアをご提供します。定期的なミーティングを通じて、院内全体の技術・知識水準を高め、安心をお届けできる環境づくりに努めています。

FEATURE 05
納得と信頼関係を重視
患者さまと立てる
オーダーメイド計画一方的に歯科医師の治療方針を押し付けるのではなく、しっかりと相談しながら、患者さまにもご一緒に考えていただいたうえで治療計画を立ててまいります。丁寧なカウンセリングを通じて信頼関係を築き、その場限りではなく将来を見据えたオーダーメイドの治療計画をご提案するなど、納得していただける治療を大切にしています。

FEATURE 06
痛みに配慮
お子さまから大人の方まで
安心のやさしい治療表面麻酔や電動麻酔注射器を使い、痛みを感じにくい治療を実践しています。お子さまには治療を無理強いせず、慣れるために事前のトレーニングを実施してから実際の治療を始めます。看護師が常駐し心のケアにも配慮するなど身体的にも精神的にもやさしい治療体制で、お子さまから大人の方まで安心して通えます。






お悩み別メニュー
PROBLEM お口のお悩みは一人ひとり異なります。当院では原因を突き止め適切な治療をご提案します。
予防・メンテナンスから小児歯科・インプラント・矯正治療まで生涯サポートいたします。
ごあいさつ
GREETING
延藤歯科クリニック 院長 延藤 秀樹
地域の皆さんの笑顔を支えるため、
一人ひとりに寄り添う歯科医療を
ご提供します
神戸市灘区六甲道の歯医者「延藤歯科クリニック」は2018年、生まれ育った六甲道で「患者さまとご家族のお口を一生診ていきたい」との想いで開院しました。
お口の健康を通して日々の暮らしや地域全体に笑顔を広げられるよう、一人ひとりに合わせた丁寧な治療と予防・メンテナンスに力を入れています。また、親身になって患者さまのお話を聞くことを心がけています。
地域の皆さんに信頼いただけるよう努めてまいりますので、何とぞよろしくお願いいたします。



診療案内
TREATMENT

予防・メンテナンス
60分の枠で丁寧なケアを実施し、病気の根本原因を突き止め、細菌と噛み合わせをコントロールします。オーダーメイドの予防管理「MTM」に基づき、担当歯科衛生士が一人ひとりに合わせた予防プログラムで生涯サポートします。

噛み合わせ
噛み合わせは全身の健康につながる重要な要素です。咬合崩壊には必ず原因があり、年齢に関係なく改善できるものです。CTやマイクロスコープなどによる検査で咬合を「見える化」し、一口腔単位で包括的に治療します。


小児歯科
小児歯科では口腔機能の発達をサポートするMFT(※)、マイナス1歳から始めるむし歯予防で、生涯むし歯ゼロを目指します。口育士資格をもつスタッフによる診療前トレーニングの実施やキッズスペースの完備で、お子さまも安心です。
※Oral Myofunctional Therapy=口腔筋機能療法



歯周病治療
細菌と噛み合わせをコントロールし、MTMを取り入れた歯周病治療を実施しています。担当衛生士制で患者さまとじっくり向き合い、検査、評価からメンテナンスまで段階的に進め、必要に応じて歯周組織再生療法も行ないます。

一般診療
むし歯の原因を突き止め、痛みの少ない・削らない・抜かないやさしい治療を実施し、予防で生涯むし歯ゼロを守ります。CTやマイクロスコープによる精密根管治療、入れ歯治療、口腔外科、障がい者治療にも対応しています。

インプラント治療
信頼性の高いインプラントを採用し、CTによる詳細な診断を実施しています。不安をやわらげる静脈内鎮静法に際しては、血圧・脈拍など全身状態を管理します。骨造成治療にも対応し、より安全で長持ちする治療を目指します。

矯正歯科
小児矯正は育成・咬合療法と連携し、拡大床の使用やMFTで包括的に取り組みます。成人矯正は口腔内スキャナーで精密に診断し、噛み合わせを考慮した治療を実施します。ワイヤー・マウスピース・部分矯正が可能です。

審美治療
口腔内スキャナーを活用した精密なセラミック治療を実施しています。専属技工士と連携しているため、機能性と審美性を両立させたメタルフリー治療をご提供できます。薬剤で歯を白くするホームホワイトニングも可能です。



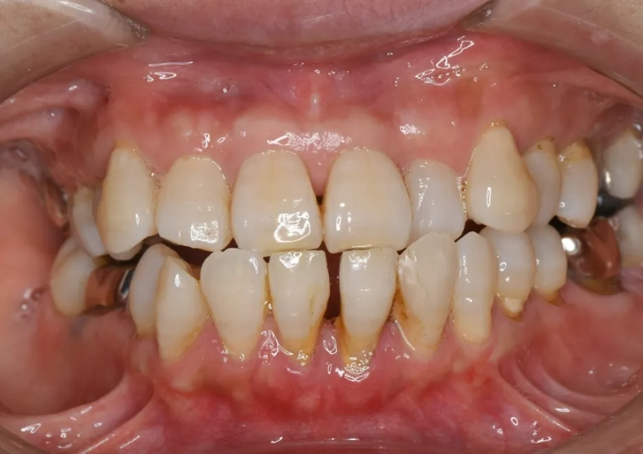
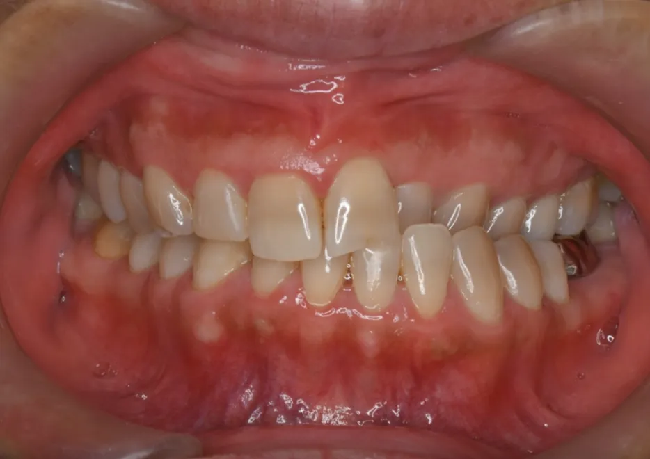
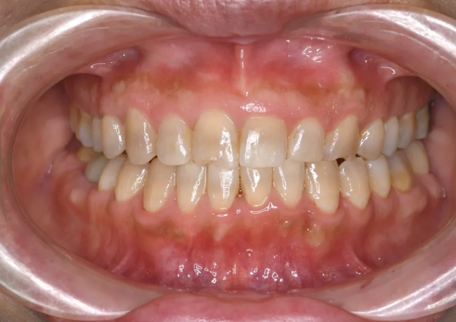
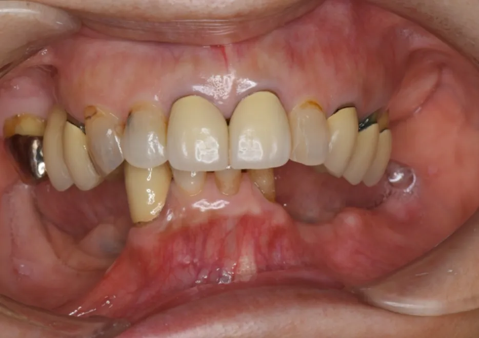
症例集
CASE
スタッフ募集
RECRUIT神戸市灘区六甲道の歯医者「延藤歯科クリニック」では一緒に働いていただけるスタッフを募集しています。18時終業、週休2日制、担当衛生士制であるほか、予防からメンテナンスまで一貫して対応できる技術の習得が可能なクリニックです。ぜひご応募ください。

ブログ
BLOG






















