
ç¯æ£æ¯ç§
orthodontics- å»¶è€æ¯ç§ã¯ãªãã㯠ããŒã
- ç¯æ£æ¯ç§
å°å ç¯æ£

æäººã®ç¯æ£æ²»çã¯æ¯ãã®ãã®ãåãããŸãããæ¯ã䞊ã¹ãã¹ããŒã¹ãäžå
åãªå Žåã¯ææ¯ãæ€èšããŸããäžæ¹ãå°å
ç¯æ£ã¯ä¹³æ¯ãæ®ã£ãŠããæ®µéããè¡ãªãç¯æ£æ²»çã§ãé¡éªšã®ãã©ã³ã¹ãæŽããŠæ¯ã䞊ã¶ã¹ããŒã¹ãã€ããæ²»çã«ãªããŸãã
å°å
ç¯æ£ã§é¡éªšã®ãã©ã³ã¹ãæŽããããã®ã¯ããŸã ãåããŸãæé·æã«ããããã§ããç¹æ®ãªè£
眮ã䜿ã£ãŠé¡éªšã®æé·ãã³ã³ãããŒã«ãããªã©ããäžäžã®æ¯ããã£ããåã¿åãããã«ããŠãããŸããæ¯äžŠã³ãæé·ããæ®µéããæ²»çãåããŠãããšãå°æ¥çã«åã³ç¯æ£æ²»çãå¿
èŠã«ãªã£ããšããŠãææ¯ãããã«æ¯äžŠã³ãæŽãå¯èœæ§ãé«ããªããŸãã
çŸããæ¯äžŠã³ã«ãªãããšã§ã倧åãªææ¥æãå¥å
šã«éããããšãã§ããŸãããåããŸã®æ¯äžŠã³ãæ°ã«ãªããŸãããããæ©ãã«ãçžè«ãã ããã
1ææ²»çãš2ææ²»çã«ã€ããŠ

ãåããŸã®æé·æ®µéã«ããã1ææ²»çãš2ææ²»çã«åããŠè¡ãªããŸãããŸã ä¹³æ¯ãæ··åšããŠããæ®µéã§è¡ãªã1ææ²»çïŒåå ãå°åŠçãããïŒã¯ãæé·æãå©çšããŠé¡éªšã®æé·ãã³ã³ãããŒã«ããŸããæ°žä¹ æ¯ããããã«çããããã«ã¹ããŒã¹ã確ä¿ããŸããæ°žä¹ æ¯ãçãããã£ãŠããè¡ãªã2ææ²»çïŒäžåŠçãããïŒã¯ã倧人ãšåæ§ã«ç¯æ£è£ 眮ã䜿ã£ãŠæ¯ãåããæ²»çã§ãã1ææ²»çã«ãã£ãŠæ°žä¹ æ¯ãããçšåºŠæ£ããäœçœ®ããçããŠãããææ¯ãããã«æ¯äžŠã³ããããã«ãªãå¯èœæ§ãé«ããªããŸãã
åœé¢ã®å°å ç¯æ£ã®ç¹é·

ãåããŸãéããããæ¯ç§å»é¢
æ¯å»è ãããèŠæãªãåããŸã§ãããŸãéãããããšæã£ãŠãããããããå šãŠã®ã¹ã¿ãããç¬é¡ã§å æ°ã«æ¥ããããšãå¿ãããŠããŸããå°ããã€ææå¿ãåãããããã«ãæ¯äžŠã³ãæŽããç®çãã©ããªæ²»çããšããããšãããããäžå¯§ã«äŒããŸããæ¯äžŠã³ããããã«ãªãã¡ãªãããçè§£ããŠãããããšã§ãæ²»çãžã®ã¢ãããŒã·ã§ã³ãé«ããŸãããŸããå°ãããåããŸãéã¹ãã¹ããŒã¹ãçšæããŠãããæ¥œãã¿ãªããéé¢ã§ããç°å¢ãæŽããŠããŸãã

å°å
è²æãå¬åçæ³ãšé£æºãã
å
æ¬çãªã¢ãããŒã
ãã ãåããŸã®æ¯ã䞊ã¹ãã®ã§ã¯ãªããé¡ããé¡å
šäœã®æé·ãä¿ããŠæ°žä¹
æ¯ãæ£ããäœçœ®ããçããããã«å°ããŸããå°å
è²æãå¬åçæ³ãšé£æºããããšã§ãå°æ¥çãªæ¯ã®å¥åº·ãèŠæ®ããæ²»çãå¯èœã«ãªããŸãã
ãŸããéªšæ Œã®æé·ã¯åŒåžã®ä»æ¹ãæ¥ã
ã®å§¿å¢ãé£ã¹æ¹ãªã©ãçæŽ»ç¿æ
£ãé¢ãã£ãŠããŸããããããçãçŽããŠããããšãèŠéã«å
¥ããäœã®æ£ããæé·ããµããŒãããŸããå¯èœãªéãææ¯ãããã«ç¯æ£ããããšã«ãã€ãªãã£ãŠãããŸãã

ãåããŸã®æ¯äžŠã³ã
æ°ã«ãªãæ¹ãžã
芪åæå®€ã®éå¬
ä¿è·è ã®æ¹ã«ãšã£ãŠå€§ããªæ©ã¿ãšãªãã®ãããåããŸã®æ¯ã®å¥åº·ã§ãããä»äžã磚ããå«ãã£ãŠãããŠãããªãããæããã¶ãã®çãçŽããªãããæ¯äžŠã³ãæªãæ°ãããããªã©ãæ°ã«ãªãããšãããã€ãåºãŠããŸããåœé¢ã§ã¯ããåããŸã®æ¯äžŠã³ãå¥ãããªæé·ããµããŒãããããã芪åæå®€ãéå¬ããŠããŸããæ£ããé£ã¹æ¹ãå§¿å¢ããå£ã®æ©èœãè²ãŠã倧åãã«ã€ããŠãä¿è·è ã®æ¹ãšäžç·ã«æ¥œããåŠã¹ãæ©äŒãèšããŠããŸãã
äž»ãªæ²»çæ³ãšè£ 眮ã®çš®é¡

æ¡å€§åº
æ¯ã䞊ã¶ããã®ã¢ãŒãããããã«æ¡å€§ããæ°žä¹ æ¯ãçããã¹ããŒã¹ã確ä¿ããããã®è£ 眮ã§ããä¹³æ¯ãçããŠããææã«è¡ãªããã®ã§ãæ¯åã®å åŽã«ã¯ããŠæŒãåºããããã«åãå ããŠãããŸããæ¯åã®å¹ ãåºããããšã§ææ¯ãåé¿ã§ããå¯èœæ§ãé«ããªããŸããåãå€ããå¯èœãªã®ã§ãåããŸã®ã¹ãã¬ã¹ã軜æžãããŸãã

ãã¬ãªã«ãœ
ããŠã¹ããŒã¹åã®ç¯æ£è£ 眮ã§ããé¡ãçèã®çºè²ãã³ã³ãããŒã«ããæ¯äžŠã³ãæªåããã®ãé²ããŸãããŸããæããã¶ããå£åŒåžãšãã£ãæ¯äžŠã³ãæªããªãçãæ¹åããã¯ãããããããŸããåãå€ããå¯èœã§ãåºæ¬çã«ã¯æ¥äž1æéãšç¡ç æã«è£ çããã°è¯ãã®ã§ããåããŸã«ã¹ãã¬ã¹ãããããŸããããŸããç¯æ£æ²»çåŸã®åŸæ»ããå°ãªããªããŸãã

MFTïŒå£è çæ©èœçæ³ïŒ
ãå£åšãã®çèããã£ãã䜿ããŠããªããšãæ¯äžŠã³ãæªåãããŠããŸããŸããMFTã¯æ¯äžŠã³ã«é¢é£ããçèããã¬ãŒãã³ã°ããããšã§ãé ¬ãèãåãæ£ãã䜿ããããã«ããŸããå£åŒåžãèã§æ¯ãæŒãåºãçãªã©ãæ¹åããæ¯äžŠã³ãæªããªãã®ãé²ãããšã«ã€ãªãããŸããå£è æ©èœå šè¬ã«ãè¯ã圱é¿ããããå¥åº·ç¶æã«æå¹ã§ãã
å°å ç¯æ£ã®è²»çš
å°å ç¯æ£ïŒä¹³æ¯åæã»æ··åæ¯åæïŒ
1æç¯æ£ïŒåæïŒ
2æç¯æ£ïŒå¿ èŠãšãªã£ãå ŽåïŒ
â»æ£è ããŸã®äžæ³šæã«ããè£ çœ®çŽå€±ã»ç Žæã¯èªè²»ã«ãªããŸãïŒçé¡:Â¥55,000ïœïŒ
å°å ç¯æ£ã®äžè¬çãªæ²»çæéã»åæ°
ã1ææ²»çãæ²»çæéïŒ1ïœ2å¹Žãæ²»çåæ°ïŒ12ïœ24å
ã2ææ²»çãæ²»çæéïŒ1ïœ3å¹Žãæ²»çåæ°ïŒ12ïœ36å
â»æ²»çæéã»åæ°ã¯çç¶ãæ²»çã®é²è¡ç¶æ³ãªã©ã«ããå€åããŸãããããŸã§åèçšåºŠã«ãèãããã ããè©³çŽ°ã¯æ¯ç§å»åž«ã«ã確èªãã ããã
æäººç¯æ£

æ°žä¹
æ¯ãçãããã£ã倧人ãè¡ãªãç¯æ£æ²»çã§ãã忥åŒããä»äºãããŒãã£ãŒãªã©ã倧人ã«ãªããšæ¯äžŠã³ãæ°ã«ãªãå Žé¢ãããã€ãåºãŠããŸããæ¯äžŠã³ãã³ã³ãã¬ãã¯ã¹ã«æããŠããæ¹ã¯ç¯æ£æ²»çã«ãã£ãŠèªä¿¡ãçãŸãã衚æ
ãæãããªã£ãŠçžæãžã®å°è±¡ãè¯ããªããŸãããŸããå°æ¥ã«åããŠããæ¯ãæ¯åšç
ãäºé²ããŠããããæ¹ã«ãã¡ãªããããããŸãã
å°å
ç¯æ£ãšéã£ãŠæé·æãçµããŠããã®ã§ãæ¯ã䞊ã¶ããã®ã¹ããŒã¹ãåºããããšã¯ã§ããŸãããç¯æ£è£
眮ãä»ããŠããã ããæ¯ã«åãå ããããšã§æ¯äžŠã³ãæŽããŠãããŸããå»¶è€æ¯ç§ã¯ãªããã¯ã§ã¯ç®ç«ããªãè£
眮ãªã©ããçšæããŠãããæ£è
ããŸã®ãåžæããèãããªããããè¯ãæ²»çæ³ããææ¡ããŸãã
æªãæ¯äžŠã³ã®çš®é¡
æ¯äžŠã³ãæªãç¶æ ã«ããããã€ãã®ã¿ã€ãããããŸãããªãã«ã¯èŠãç®ã«å€§ãã圱é¿ãåãŒããã®ããããŸãããç¯æ£æ²»çã«ãã£ãŠå¯©çŸæ§ãæ©èœæ§ãå埩ã§ããå ŽåããããŸãã

å¢ç
ïŒå «éæ¯ã»ä¹±ããæ¯ïŒæ¯ãååŸã«éãªããã³ãã³ã«çããŠãã

äžé¡åçª
ïŒåºã£æ¯ïŒäžé¡ã忝ãåºã£åŒµã£ãŠãã

äžé¡åçªã»å察å¬å
ïŒåãå£ïŒäžäžã®æ¯ã®åã¿åãããéã«ãªã£ãŠãã

éå¬ã»ãªãŒãã³ãã€ã
ïŒåæ¯ãéããªãïŒäžäžã®åæ¯ãåœãããééãã§ãã

éèå¬å
ïŒæ·±ãåã¿åããïŒäžã®åæ¯ãäžã®åæ¯ã«æ·±ã被ãã

ç©ºéæ¯å
ïŒããã£æ¯ïŒæ¯ãšæ¯ã®éã«ééãããç®ç«ã€
åœé¢ã®æäººç¯æ£ã®ç¹é·

IOSïŒ3Då£è
å
ã¹ãã£ããŒïŒã
çšãã
粟å¯ãªèšºæ
åã¿åãããæŽããæäººç¯æ£ã§ã¯ãæ¯ååããéèŠãªãã€ã³ãã«ãªããŸããåŸæ¥ã¯ç²ååã®å°è±¡æã䜿ãããŠããŸããããåœé¢ã§ã¯IOSïŒ3Då£è
å
ã¹ãã£ããŒïŒãæ¡çšããŠããŸããããã¯å°ããªããããæ¯ã«åœãŠãŠããããšã«ãã£ãŠãå£ã®äžã®æ§åãã¢ãã¿ãŒäžã§åçŸã§ãããšãããã®ã§ãå°è±¡æã®ããã«åºãŸããŸã§åŸ
ã€å¿
èŠããããŸãããããã«ç²Ÿå¯ãªæ¯åã®ããŒã¿ãåŸãããç¯æ£æ²»çã®ãŽãŒã«ããã£ããå®ããããšãå¯èœã«ãªããŸãã
â»IOSïŒIntra Oral Scanner

åã¿åãããèæ
®ãã
æ©èœçãªç¯æ£æ²»ç
ç¯æ£æ²»çãšããã°ãæ¯äžŠã³ããããã«ãªãæ²»çãšããå°è±¡ãããã¡ã®æ¹ãããã£ããããšæããŸãããããã«ããããåŽé¢ããããŸãããå»åž«ãšããŠç¬¬äžã«èããŠããã®ã¯æ£ããåããããã«ããããšã§ãããã®çµæãæ¯äžŠã³ã®ã¢ãŒããçŸãããªããšèããŠããŸãã
æ£è
ããŸã®ç²Ÿå¯ãªæ¯åãåããéªšæ Œã確èªãããªã©ããŠçŸåšã®åã¿åããã調ã¹ãæçµçãªåã¿åãããæããŸããæ²»çèšç»ãããç¶¿å¯ã«ãªããæ©èœæ§ãéèŠããç¯æ£æ²»çãå¯èœã«ãªããŸãã

è£ç¶Žæ²»çãšçµã¿åããã
é«éœ¢è
ãžã®
察å¿
ã·ãã¢äžä»£ã®æ¹ã«åããŠãå ¥ãæ¯ãããªããžãªã©ã®è£ç¶Žæ²»çãšç¯æ£ãçµã¿åãããå æ¬çãªã¢ãããŒããè¡ãªã£ãŠããŸããåã«æ¬ æãè£ãã ãã§ãªããç¯æ£ã«ãã£ãŠå šäœã®æ¯äžŠã³ãæŽããããšã§ãå ¥ãæ¯ãããªããžãæ¯ãããå£ã®åå°ãå®å®ããŸããããã«ãããè£ çœ®ãããé·æã¡ããæ¬æ¥ã®ãåãããæ©èœãåãæ»ãããšãå¯èœã«ãªããŸãã幎霢ãçç±ã«è«Šããã®ã§ã¯ãªããçæ¶¯ããããé£äºã楜ããããããäžäººã²ãšãã«é©ããèšç»ããææ¡ããŸãã
ç¯æ£è£ 眮ã®çš®é¡

ã¯ã€ã€ãŒç¯æ£
æ¯ã«ãã©ã±ãããšããå°ããªéšåãåãä»ããã¯ã€ã€ãŒãéããŠåºå®ããç¯æ£è£ 眮ã§ããç¯æ£æ¯ç§ã§ã¯äžè¬çã«äœ¿çšããããã®ã§ã宿çãªéé¢ã®éã«åã調æŽããªããæ¯ãåãããŸããå¹ åºãçäŸã«å¯Ÿå¿ã§ããã®ã倧ããªåŒ·ã¿ã§ãè²»çšãæããããŸãããã ããéå±è£œã®ããäŒè©±äžãç¬ã£ããšãã«å£å ãç®ç«ã¡ãŸãã

ããŠã¹ããŒã¹ç¯æ£
è£ çœ®ãããŠã¹ããŒã¹ã®åœ¢ç¶ãããŠãããéæãªãã©ã¹ããã¯ã§äœãããŠãããããè£ çããŠãããŸãç®ç«ã¡ãŸããããåºããããä»äºã®ãšããå£å ãæ°ã«ãªãããå£å ãžã®ã¹ãã¬ã¹ãæããã«æ®æ®µã©ããã®ç掻ãéããŸããåœé¢ã§ã¯éæã§ç®ç«ã¡ã«ããããšã³ãžã§ã«ã¢ã©ã€ããŒããå°å ¥ããŠããŸãã åãå€ããå¯èœã§é£äºãæ¯ç£šãã®è² æ ãå°ãªãã3Dã·ãã¥ã¬ãŒã·ã§ã³ã«ãã粟å¯ãªèšç»ãå¯èœã§ãã

éšåç¯æ£
ã¯ã€ã€ãŒç¯æ£ãªã©ã®ããã«æ¯åå šäœã®åã¿åããã調æŽããã®ã§ã¯ãªããåã¿åãããæªãäžéšã®æ¯ã ããæ²»çããæ¹æ³ã§ããéšåç¯æ£ã¯æ²»çæéãçããªããè£ çœ®ã«ãããè²»çšãæããããšãã§ããŸããããšã«ããæ°ã«ãªãæ¯äžŠã³ãæ¹åãããããšããæ¹ã«åããŠããŸãããã ããåã¿åããã®èª¿æŽãã§ãããåãããæ¯ãåŸæ»ããããããªã©ã®ãã¡ãªããããããŸãã
ç¯æ£æ²»çã®æµã
- STEP 01

ååã«ãŠã³ã»ãªã³ã°
æ¯äžŠã³ã«ã€ããŠã©ã®ãããªãæ©ã¿ããããã䌺ãããŸãããå£ã®äžãæèŠããŠæ¯äžŠã³ã®ç¶æ ã«ã€ããŠãäŒãããã©ããã£ãæ²»çæ³ãèãããããã話ãããŸãã
- STEP 02

ç²Ÿå¯æ€æ»
æ²»çæ¹éãæ±ºå®ããããã粟å¯ãªæ€æ»ãè¡ãªããŸããæ¯ãšéªšã®å šäœåãææ¡ããããã®ã¬ã³ãã²ã³æ®åœ±ããæ¯ååããåã¿åããã®èšºæ»ãªã©ã宿œããŸãã
- STEP 03

蚺æã»æ²»çèšç»ã®ã説æ
蚺æçµæãæ²»çã®ãŽãŒã«ã«ã€ããŠæ£è ããŸã«ãäŒãããŸãããŸããæ²»çèšç»ã®å 容ãšããŠæ²»çæéã®èŠéããäŸ¡æ Œãéžæè¢ãšãªãè£ çœ®ã®çš®é¡ãæ²»çã«ããããªã¹ã¯ãªã©ã«ã€ããŠã説æããŸãã
- STEP 04

è£ çœ®ã®è£ çã»åãæ±ã説æ
æ£è ããŸãã䜿ãã«ãªãç¯æ£è£ 眮ã«ã€ããŠãåãæ±ãæ¹æ³ãªã©ãã説æã®ããè£ çããŸããããŠã¹ããŒã¹åç¯æ£è£ 眮ã¯è€æ°æã®è£ 眮ããæž¡ãããå€ãã¿ã€ãã³ã°ãªã©ããäŒãããŸãã
- STEP 05

宿çãªèª¿æŽ
ã¯ã€ã€ãŒç¯æ£ã¯ãããã1ãµæããšã®é »åºŠã§éé¢ããŠããã ããã¯ã€ã€ãŒã®åã調æŽããŸããããŠã¹ããŒã¹åç¯æ£è£ 眮ã宿çã«è£ 眮ãåãæ¿ããŸãããåºæ¬çã«ãèªèº«ã§è¡ãªã£ãŠããã ããŸãã
- STEP 06

æ²»çå®äºã»è£ çœ®ã®æ€å»
ç¯æ£æ²»çã¯æ°ãµæãã幎åäœã®æéãèŠããŸããæ£è ããŸããã£ããèªå·±ç®¡çãç¶ããããããšã§ãç®æšãšããŠããæ¯äžŠã³ã«å€ããããšãã§ããŸããæ¯ãæ£ããäœçœ®ãžäžŠãã ããç¯æ£è£ çœ®ãæ€å»ããŸãã
- STEP 07

ä¿å®æé
åããæ¯ã¯å ã®äœçœ®ã«æ»ãããšããæ§è³ªããããããç¯æ£ããæ¯ãåºå®ããããã«ãªããŒããŒïŒä¿å®è£ 眮ïŒã䜿ãä¿å®ããŸããä¿å®æéäžãåã¿åããã®ç¶æ ãªã©ãè©äŸ¡ããçµé芳å¯ãããŸãã
- STEP 08

宿æ€èšºã»ã¢ãã¿ãŒãã©ããŒ
ä¿å®ãçµãã£ããæ²»çã¯å®äºã§ãããæ¯äžŠã³ãå®å®ããŠãããããåã¿åããã¯æ£ãããŸãŸãããšãã£ããã€ã³ããç¶ç¶çã«ç¢ºèªããããã宿æ€èšºãè¡ãªããŸããããæ¯ãæ¯åšç äºé²ã«ãã€ãªãããŸãã
æäººç¯æ£ã®çäŸ
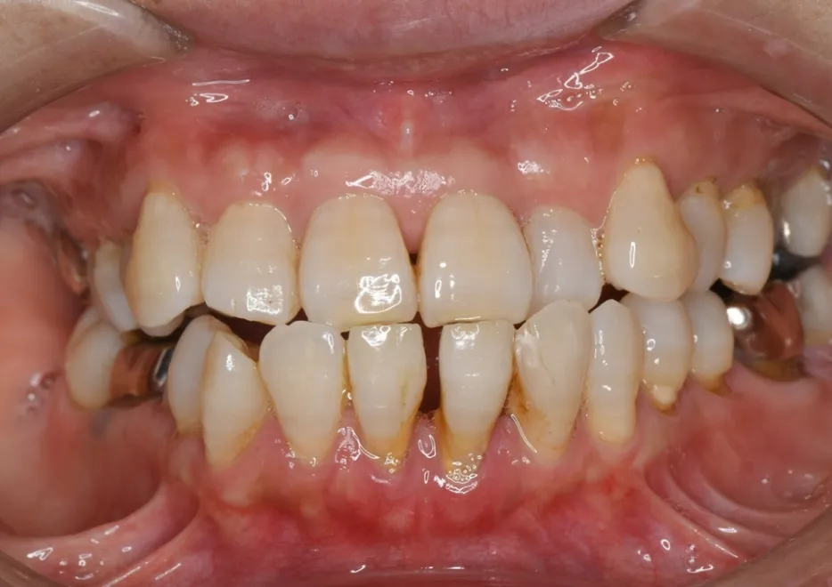
çäŸ1
æ²»çå

æ²»çåŸ

| æ²»çåç§°ã»å¹Žéœ¢ | æäººç¯æ£ïŒã€ã³ãã©ã³ãïŒã»ã©ããã¯ãã¶ããåãå£ïŒå察å¬åïŒã¬ã¿ã¬ã¿ïŒå¢çïŒã®æ¹åã»å¥³æ§ãïŒ70æ³ïŒ |
|---|---|
| ç·é¡ æ²»çè²»çš | 120äžå |
| è²»çšã®è©³çް | å šé¡ç¯æ£66äžåãã€ã³ãã©ã³ã42äžåãã»ã©ããã¯ã¯ã©ãŠã³12äžå |
| ç·æ²»çæé | 3幎 |
| éé¢é »åºŠ | 2é±éã«1床 |
| çç¶ | äžé¡åæ¯ã®æ¯èäžãããçç±ã«æ¥é¢ãããŸãããåæ¯ãæ¯åšç ãšå¬ã¿åããå察å¬åã§äžé¡åæ¯ã«è² æ ãããããæ¯èäžããã®åå ã«ãªã£ãŠããŸããã |
| æ²»çæ¹æ³ | â æåã«è¡çå£«ã®æ¯ç³åãã«ããæ¯åšç
æ²»çãè¡ããŸããã â¡å³äžã®å¥¥æ¯ãå²ããŠããŠãææ¯åŸã€ã³ãã©ã³ãæ²»çãè¡ããŸããã â¢æ¯åšç ãæªåããªããããã£ããæ éã«å šé¡ã®ç¯æ£ãè¡ããåãå£ãšå¢çãæ¹åããŠãããŸããã â£å³äžã®ã€ã³ãã©ã³ãéšäœãšãå·Šäžã®éæ¯ãã¶ãéšäœã«ã»ã©ããã¯ãã¶ããè£ çããŸããã |
| æ²»ççµæ | åæ¯ã®æ¯åšç ã®åå ã§ããå察å¬åãšãå šé¡æ¯åšç ã®åå ã§ããå¢çãæ¹åãããããã¬ããªã©ã®å£è æž æãå¿«é©ã«ãªããŸãããå察å¬åã«ããå£å ã®åçªãæ¹åãããã£ããããŸããã奥æ¯ã®å¬ã¿åããæ¹åã§ããŸããã |
| ãªã¹ã¯/å¯äœçš | ç¯æ£ã¯æ¯ãåããæ²»çã§ããããã«æ1åã®ç¯æ£èª¿æŽã3æ¥éçšåºŠã¯ã©ãããŠãçã¿ãéåæããããŸãã |
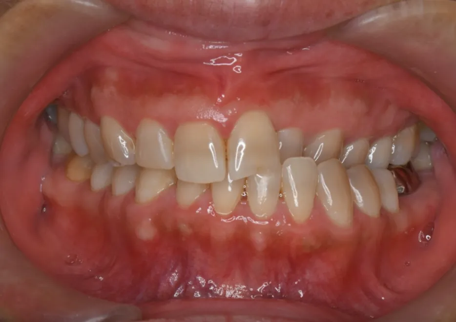
çäŸ2
æ²»çå

æ²»çåŸ

| æ²»çåç§°ã»å¹Žéœ¢ | æäººç¯æ£ |
|---|---|
| ç·é¡ æ²»çè²»çš | 67äžåïŒèª¿æŽæ4,000åïŒæã ïŒ |
| ç·æ²»çæé | 3幎 |
| éé¢é »åºŠ | æ1å |
| çç¶ | æ¯äžŠã³ãšé¡ã®ããã¿ãæ°ã«ãªãã å·Šã®é¡é¢ç¯ã®çã¿ãããã |
| æ²»çæ¹æ³ | â æ¡å€§åºã1幎éè£
çããçããªã£ãŠããäžé¡ã®æ¯åã¢ãŒããæ¡å€§ããŸããã â¡ã¯ã€ã€ãŒç¯æ£ãéå§ããŠã现ããªæ¯äžŠã³ã®èª¿æŽãè¡ããŸããã â¢åŸæ»ãã鲿¢ãããªããŒããŒãè£ çãçµäºããŸããã |
| æ²»ççµæ | å·Šã®é¡é¢ç¯ã®çã¿ãæ¶å€±ããŸããã æ¯åäžæ£ãåå ã®é¡ã®å·Šå³ã®ããã¿ãæ¹åããŸããã å·ŠåŽã§ãé£äºããããããªããŸããã |
| ãªã¹ã¯/å¯äœçš | ç¯æ£ã¯æ¯ãåããæ²»çã§ããããã«æ1åã®ç¯æ£èª¿æŽã3æ¥éçšåºŠã¯ã©ãããŠãçã¿ãéåæããããŸãã |
æäººç¯æ£ã®è²»çš
ãã«ããã©ã±ããïŒäžé¡ïŒã»ã©ãã㯠äžé¡ïŒã¡ã¿ã«ïŒ
ã¢ã©ã€ããŒè£ 眮ïŒçé¡ïŒ1æ¯ïœ4æ¯ïŒ
éšåç¯æ£ïŒçé¡ïŒ
äžé¡ 330,000å
éšåç¯æ£ïŒåæ¯ã®ã¿ã»èŒæ¯ã®ã¿ïŒ
äžé¡ 165,000å
審çŸãã©ã±ããå ç®
äžé¡ 66,000å
ç¯æ£æ²»çã®äžè¬çãªãªã¹ã¯ã»å¯äœçš
ãã¯ã€ã€ãŒç¯æ£ïŒå
šäœïŒãæ²»çæéïŒ2ïœ3å¹Žãæ²»çåæ°ïŒ24ïœ36å
ãã¯ã€ã€ãŒç¯æ£ïŒéšåïŒãæ²»çæéïŒ6ãµæïœ1幎6ãµæãæ²»çåæ°ïŒ6ïœ12å
ãããŠã¹ããŒã¹ç¯æ£ãæ²»çæéïŒ2ïœ3å¹Žãæ²»çåæ°ïŒ24ïœ36å
â»æ²»çæéã»åæ°ã¯çç¶ãæ²»çã®é²è¡ç¶æ³ãªã©ã«ããå€åããŸãããããŸã§åèçšåºŠã«ãèãããã ããè©³çŽ°ã¯æ¯ç§å»åž«ã«ã確èªãã ããã

çæ³ã®æ¯äžŠã³ã
å®çŸããŸãããïŒ
æ¯äžŠã³ã®æ©ã¿ãçžè«ãã ãã
以åããæ¯äžŠã³ã«ã³ã³ãã¬ãã¯ã¹ãæ±ããŠãããå£å
ããããã«ãããâŠ
æ¯äžŠã³ã«ãæ©ã¿ãæ±ããŠããæ¹ã®ãçžè«ããåãããŠããŸãã
äžè¬çãªãªã¹ã¯ã»å¯äœçš
ç¯æ£æ²»ç
ã»ç¯æ£æ²»çã®äžè¬çãªæ²»çè²»ã¯60äžïœ150äžåãäžè¬çãªæ²»çæéã¯2ïœ3幎ãäžè¬çãªæ²»çåæ°ã¯24ïœ36åãšãªããŸãã䜿çšããè£
眮ãçç¶ãæ²»çã®é²è¡ç¶æ³ãªã©ã«ããå€åããŸãã®ã§ãåèçšåºŠã«ãèãããã ããè©³çŽ°ã¯æ¯ç§å»åž«ã«ã確èªãã ããã
ã»æ©èœæ§ãå¯©çŸæ§ãéèŠãããããå
¬çå¥åº·ä¿éºå¯Ÿè±¡å€ã®èªè²»èšºçãšãªããŸããè©³çŽ°ã¯æ¯ç§å»åž«ã«ã確èªãã ããã
ã»æåã¯ç¯æ£è£
眮ã«ããäžå¿«æãçã¿ãªã©ããããŸããæ°æ¥ãã1ïœ2é±éã§æ
£ããããšãå€ãã§ãã
ã»æ¯ã®åãæ¹ã«ã¯å人差ããããããæ²»çæéãäºæ³ããé·æåããããšããããŸãã
ã»è£
眮ãé¡éãŽã ã®æ±ãæ¹ã宿çãªéé¢ãªã©ãç¯æ£æ²»çã§ã¯æ£è
ããŸã®ãååããããžãéèŠã§ãããããããæ²»ççµæãæ²»çæéã«åœ±é¿ããŸãã
ã»æ²»çäžã¯ãè£
眮ãã€ããŠããããæ¯ã磚ãã«ãããªããŸããããæ¯ãæ¯åšç
ã®ãªã¹ã¯ãé«ãŸãã®ã§ãäžå¯§ãªæ¯ç£šãã宿ã¡ã³ããã³ã¹ã®å蚺ã倧åã§ãããŸããæ¯ãåãããšã§èŠããªãã£ãããæ¯ãèŠããããã«ãªãããšããããŸãã
ã»æ¯ãåããããšã«ããæ¯æ ¹ãåžåãããçããªãããšããããŸãããŸããæ¯èãç©ããŠäžããããšããããŸãã
ã»ãããŸãã«ãæ¯ã骚ãšççããŠããŠæ¯ãåããªãããšããããŸãã
ã»ãããŸãã«ãæ¯ãåããããšã§ç¥çµã«é害ãäžããç¥çµã壿»ããããšããããŸãã
ã»æ²»çäžã«éå±ãªã©ã®ã¢ã¬ã«ã®ãŒçç¶ãåºãããšããããŸãã
ã»æ²»çäžã«ããé¡é¢ç¯ã§é³ã鳎ããé¡ãçããå£ãããã«ããããªã©ã®é¡é¢ç¯çç¶ãåºãããšããããŸãã
ã»åé¡ãçããå Žåãåœåã®æ²»çèšç»ã倿ŽããããšããããŸãã
ã»æ¯ã®åœ¢ç¶ã®ä¿®æ£ããåã¿åããã®åŸ®èª¿æŽãè¡ãªãããšããããŸãã
ã»ç¯æ£è£
眮ã誀飲ããå¯èœæ§ããããŸãã
ã»è£
眮ãå€ããšãã«ããšãã¡ã«è³ªã«åŸ®å°ãªäºè£ãå
¥ãå¯èœæ§ããè£ç¶Žç©ïŒè¢«ãç©ãªã©ïŒã®äžéšãç ŽæããããšããããŸãã
ã»è£
眮ãå€ããããšãä¿å®è£
眮ãæç€ºã©ããã«äœ¿çšããªããšåŸæ»ããçããå¯èœæ§ãé«ããªããŸãã
ã»è£
眮ãå€ããããšãçŸåšã®åã¿åããã«åãããŠè£ç¶Žç©ïŒè¢«ãç©ãªã©ïŒã®äœè£œãããæ¯æ²»çãªã©ãããçŽãå¯èœæ§ããããŸãã
ã»é¡ã®æé·çºè²ã«ãããæ¯äžŠã³ãåã¿åãããå€åããå¯èœæ§ããããŸãã
ã»æ²»çåŸã«ã芪ç¥ããã®åœ±é¿ã§æ¯äžŠã³ãåã¿åãããå€åããå¯èœæ§ããããŸãã
ã»å éœ¢ãæ¯åšç
ãªã©ã«ãããæ¯äžŠã³ãåã¿åãããå€åããããšããããŸãã
ã»ç¯æ£æ²»çã¯ãäžåºŠå§ãããšå
ã®ç¶æ
ã«æ»ãããšãé£ãããªããŸãã
æ¡å€§åº
ã»å°å
æã«äžé¡ã®éªšãåºããŠæ¯ã䞊ã¶ã¹ããŒã¹ã確ä¿ããããã«äœ¿çšããè£
眮ã§ãã
ã»æ©èœæ§ãå¯©çŸæ§ãéèŠãããããå
¬çå¥åº·ä¿éºå¯Ÿè±¡å€ã®èªè²»èšºçãšãªããŸããè©³çŽ°ã¯æ¯ç§å»åž«ã«ã確èªãã ããã
ã»åºå®åŒã®ãã®ã¯ããèªèº«ã§ã¯åãå€ããŸããã
ã»è£
眮åŸ1é±éã»ã©ã¯ãçºé³ã»å¥äžæã«éåæãèŠããã»ãã錻ãå£ããšã«ãã³ãšããçã¿ãæããããšããããŸãã
ã»ãã®è£
眮ãã€ããæ¯ãšãã®åšèŸºã®æ¯ã«çã¿ãçããããšããããŸãããŸããå£å
çãçºçããããšããããŸãã
ã»æ¯åãæšªã«åºããããšã§ãäžæçã«åæ¯ã«ããéãçããããšããããŸãããæéã®çµéãšãšãã«èªç¶ã«éããŠããŸãã
ã»ãåããŸãæ²»çã«ååçã§ãªãå Žåãè¯å¥œãªæ²»ççµæãåŸãããªãããšããããŸãã
ã»åãå€ãåŒã®ãã®ã¯ãæ¯æ¥ã®è£
çãæ ããšãè¯å¥œãªæ²»ççµæãåŸãããªãããšããããŸãã
ã»é£ã¹ç©ãè£
眮ã«ã€ãããããæ¯ã磚ãã«ãããªããŸããç¹ã«ã¯ã€ã€ãŒãããã®éšåã«æ±ããæºãŸããããã®ã§ãä»äžã磚ãããããªã©ãå®¶æã®ãµããŒããå¿
èŠã«ãªãããšããããŸãã
ã»åºå®åŒãã®ã¯ãæ¯ç£šãããã¡ããšã§ããŠããªããšããæ¯ãçºçãããªã¹ã¯ãé«ãŸããŸãã
ã»ç涯è¯å¥œãªæ¯äžŠã³ã§ããããšãä¿èšŒããæ²»çã§ã¯ãããŸãããæ²»çåŸãæé·ã«ããäžæ£å¬åãçŸããããšããããŸãã
ã»æ£ããäœ¿ãæ¹ãã§ããŠããªããšãããã£ãŠæªãæ¯äžŠã³ã«ãªã£ãŠããŸãããšããããŸãã
ã»ãã®è£
眮ã ãã§ããå£åšãã®åé¡ãå
šãŠè§£æ±ºã§ããããã§ã¯ãããŸããã
æ¯åç¯æ£çšå¬åèªå°è£ 眮ïŒãã¬ãªã«ãœïŒãçšããæ²»ç
ã»è¬æ©æ³ïŒå»è¬åå»çæ©åšçæ³ïŒã«ãããŠæ¿èªãããå»çæ©åšã§ããæ¯ã®èªå°ã«äœ¿çšããŸãã
ã»æ©èœæ§ãå¯©çŸæ§ãéèŠãããããå
¬çå¥åº·ä¿éºå¯Ÿè±¡å€ã®èªè²»èšºçãšãªããŸããè©³çŽ°ã¯æ¯ç§å»åž«ã«ã確èªãã ããã
ã»åãå€ããã®ã§ãè£
çæéãå®ãããã®ã»ã«ãã³ã³ãããŒã«ãå¿
èŠã§ãã
ã»ãåããŸãæ²»çã«ååçã§ãªãå Žåãè¯å¥œãªæ²»ççµæãåŸãããªãããšããããŸãã
ã»æ¯æ¥ã®è£
çãæ ããšãè¯å¥œãªæ²»ççµæãåŸãããªãããšããããŸãã
ã»æ£ããäœ¿ãæ¹ãã§ããŠããªããšãããã£ãŠæªãæ¯äžŠã³ã«ãªã£ãŠããŸãããšããããŸãã
ã»ãã®è£
眮ã ãã§ããå£åšãã®åé¡ãå
šãŠè§£æ±ºã§ããããã§ã¯ãããŸããã
MFTïŒå£è çæ©èœçæ³ïŒ
ã»ãå£åšãã®çèãæ£åžžã«æ©èœãããããã®ãã¬ãŒãã³ã°ã§ãã
ã»æ©èœçã»å¯©çŸçã«ä»äžããããã®æ²»çãªã®ã§ãèªè²»ïŒä¿éºé©çšå€ïŒã§ã®èšºçãšãªããŸããè©³çŽ°ã¯æ¯ç§å»åž«ã«ã確èªãã ããã
ã»ãåããŸãæ²»çã«ååçã§ãªãå Žåãè¯å¥œãªæ²»ççµæãåŸãããªãããšããããŸãã
ã»MFTïŒå£è
çæ©èœçæ³ïŒã ãã§ããå£åšãã®åé¡ãå
šãŠè§£æ±ºã§ããããã§ã¯ãããŸããã
ã»MFTïŒå£è
çæ©èœçæ³ïŒãè¡ãªã£ããããšãã£ãŠãå°æ¥ç¯æ£æ²»çãããã«æžããšã¯éããŸããã
å£è å ã¹ãã£ããŒãçšããæ²»ç
ã»å
åŠçã«å£è
å
ã®å°è±¡ãæ¡åŸãããã£ã¹ãã¬ã€ã«è¡šç€ºããŠèšºçãæ£è
ããŸãžã®ã説æã«äœ¿çšããããæ¡åŸãã3DããŒã¿ã«åºã¥ããããŠã¹ããŒã¹åç¯æ£è£
眮ãè£ç¶Žç©ãªã©ã®èšèšã»è£œé ã«äœ¿çšããŸãã
ã»å£è
å
ã¹ãã£ããŒã䜿çšããŠè¡ãªãæ²»çã®ãã¡ãããŠã¹ããŒã¹åç¯æ£è£
眮ãçšããæ²»çãã»ã©ããã¯ã®è£ç¶Žç©ã®äœè£œãªã©ã¯ãæ©èœæ§ãå¯©çŸæ§ãéèŠãããããå
¬çå¥åº·ä¿éºå¯Ÿè±¡å€ã®èªè²»èšºçãšãªããŸããè©³çŽ°ã¯æ¯ç§å»åž«ã«ã確èªãã ããã
ã»å°è±¡å€ã䜿çšããåŸæ¥ã®å°è±¡æ¡åŸã«æ¯ã¹ãå°è±¡æ¡åŸæã®äžå¿«æã¯å€§å¹
ã«è»œæžãããŸããããå£ã®äžã«ã¹ãã£ããŒãå
¥ãããããããŸãã«å€å°ã®äžå¿«æãèŠããããšããããŸãã
ããŠã¹ããŒã¹ç¯æ£
ã»æ©èœæ§ãå¯©çŸæ§ãéèŠãããããå
¬çå¥åº·ä¿éºå¯Ÿè±¡å€ã®èªè²»èšºçãšãªããŸããè©³çŽ°ã¯æ¯ç§å»åž«ã«ã確èªãã ããã
ã»æ£ããè£
çæ¹æ³ã§1æ¥20ïœ22æé䜿çšããªããšãç®æšãšããæ²»ççµæãåŸãããªãããšãããããããã¡ããšããèªå·±ç®¡çãå¿
èŠã«ãªããŸãã
ã»ãèªèº«ã§åãå€ãããããçŽå€±ããããšããããŸãã
ã»çç¶ã«ãã£ãŠã¯ãããŠã¹ããŒã¹åç¯æ£è£
çœ®ã§æ²»çã§ããªãããšããããŸãã
ã»ãå£ã®äžã®ç¶æ
ã«ãã£ãŠã¯ãæ²»çèšç»ã©ããã®çµæãåŸãããªãããšããããŸãã
ã»è£
çãããŸãŸç³åã®å
¥ã£ã飲æããšããšãããæ¯ãçºçãããããªããŸãã
ã»æ²»çã«ãã£ãŠããŸãã«æ¯æ ¹åžåãæ¯èéçž®ãèµ·ããããšããããŸãã
ã»é£ããã°ãã®çãåŒ·ãæ¹ã®å Žåã奥æ¯ãåãŸãªããªãããšããããŸãã
ã»æ²»çéäžã§ãã¯ã€ã€ãŒãäœ¿ãæ²»çãžã®å€æŽãå¿
èŠã«ãªãããšããããŸãã
ã»ãå£ã®ç¶æ
ã«ãã£ãŠã¯ãããŠã¹ããŒã¹åç¯æ£è£
眮ã«å ããè£å©ç¯æ£è£
眮ãå¿
èŠã«ãªãããšããããŸãã
ã»æ²»çå®äºåŸã¯åŸæ»ããé²ããããä¿å®è£
眮ã®è£
çãå¿
èŠã«ãªããŸãã
ã»è¬æ©æ³ïŒå»è¬åå»çæ©åšçæ³ïŒã«ãããŠãŸã æ¿èªãããŠããªãå»çæ©åšã§ããæ¥æ¬ã§ã¯å®æç©è¬æ©æ³å¯Ÿè±¡å€ã®è£
眮ã§ãããå»è¬åå¯äœçšè¢«å®³ææžæªçœ®ã®å¯Ÿè±¡å€ãšãªãããšããããŸãã
è¬æ©æ³ã«ãããŠæ¿èªãããŠããªãããŠã¹ããŒã¹åç¯æ£è£ 眮ã«ã€ããŠ
åœé¢ã§ãæäŸããŠããããŠã¹ããŒã¹åç¯æ£è£ 眮ã¯ãè¬æ©æ³ïŒå»è¬åå»çæ©åšçæ³ïŒã«ãããŠãŸã æ¿èªãããŠããªãå»çæ©åšãšãªããŸãããåœé¢ã§ã¯ãã®æå¹æ§ãèªããå°å ¥ããŠããŸãã
- æªæ¿èªå»çæ©åšã«è©²åœ
è¬æ©æ³äžã®æ¿èªãåŸãŠããŸããïŒç¬ç«è¡æ¿æ³äºº å»è¬åå»çæ©åšç·åæ©æ§ãŠã§ããµã€ãã«ãŠ2025幎12æ19æ¥æçµç¢ºèªïŒã
- å ¥æçµè·¯ç
Angelalign Technology Inc.ïŒãšã³ãžã§ã«ã¢ã©ã€ã³ã»ãã¯ãããžãŒç€ŸïŒããå ¥æããŠããŸãã
- åœå ã®æ¿èªå»çæ©åšçã®æç¡
åœå ã§ã¯ããšã³ãžã§ã«ã¢ã©ã€ããŒãšåæ§ã®æ§èœãæããæ¿èªå»çæ©åšã¯ååšããªãå¯èœæ§ããããŸãïŒç¬ç«è¡æ¿æ³äºº å»è¬åå»çæ©åšç·åæ©æ§ãŠã§ããµã€ãã«ãŠ2025幎12æ19æ¥æçµç¢ºèªïŒã
- 諞å€åœã«ãããå®å šæ§çã«ããããæ å ±
æ å ±ãäžè¶³ããŠãããããããã§ã¯è«žå€åœã«ãããå®å šæ§çã«ããããæ å ±ã¯æç€ºã§ããŸãããä»åŸé倧ãªãªã¹ã¯ã»å¯äœçšãå ±åãããå¯èœæ§ããããŸãã
- å»è¬åå¯äœçšè¢«å®³ææžå¶åºŠã»çç©ç±æ¥è£œåææçè¢«å®³ææžå¶åºŠã®ææžå¯Ÿè±¡å€
åœå
ã§æ¿èªãåããŠè£œé 販売ãããŠããå»è¬åã»å»çæ©åšïŒçç©ç±æ¥ç補åã§ããå Žåã«éãïŒã»åçå»çç補åã«ããå¯äœçšããŠã€ã«ã¹çã«ããææè¢«å®³ã§ãäžãäžå¥åº·è¢«å®³ããã£ããšãããå»è¬åå¯äœçšè¢«å®³ææžå¶åºŠããçç©ç±æ¥è£œåææçè¢«å®³ææžå¶åºŠããªã©ã®å
¬çãªææžå¶åºŠãé©çšãããŸãããæªæ¿èªå»è¬åã»å»çæ©åšã»åçå»çç補åã®äœ¿çšã¯ææžã®å¯Ÿè±¡ã«ã¯ãªããŸããããŸããæ¿èªãåããŠè£œé 販売ãããŠããå»è¬åã»å»çæ©åšã»åçå»çç補åã§ãã£ãŠããååãšããŠæ±ºããããå¹èœã»å¹æãçšæ³ã»çšéããã³äœ¿çšäžã®æ³šæã«åŸã£ãŠäœ¿çšãããŠããªãå Žåã¯ãææžã®å¯Ÿè±¡ã«ã¯ãªããŸããã
æ¥æ¬ã§ã¯ã宿ç©è¬æ©æ³å¯Ÿè±¡å€ã®ç¯æ£è£
眮ã§ãããå»è¬åå¯äœçšè¢«å®³ææžå¶åºŠã®å¯Ÿè±¡å€ãšãªããŸãã
â»åœè©²æªæ¿èªå»è¬åã»å»çæ©åšãçšããæ²»çã®åºåã«å¯Ÿããæ³šæäºé
ã®æ
å ±ã®æ£ç¢ºæ§ã«ã€ããŠãæ¬ãŠã§ããµã€ãã®é¢ä¿è
ã¯äžå責任ãè² ããŸããã
ä¿å®è£ 眮ãçšããæ²»ç
ã»ç¯æ£æ²»çã§æŽããæ¯äžŠã³ãå
ã®ç¶æ
ã«æ»ããåŸæ»ãããé²ãããã«ãç¯æ£æ²»ççµäºåŸã«è£
çããè£
眮ã§ãã
ã»æ©èœæ§ãå¯©çŸæ§ãéèŠãããããå
¬çå¥åº·ä¿éºå¯Ÿè±¡å€ã®èªè²»èšºçãšãªããŸããè©³çŽ°ã¯æ¯ç§å»åž«ã«ã確èªãã ããã
ã»ããŠã¹ããŒã¹åããã¬ãŒãåãã¯ã€ã€ãŒåãªã©ããããæ²»çåŸã®æ¯äžŠã³ã®ç¶æ
ã«å¿ããŠæ¯ç§å»åž«ã®æç€ºã«åŸããæ£ããæéã»æ¹æ³ã§äœ¿çšããããšãéèŠã§ãã
ã»æ²»çæéã¯ãç¯æ£æ²»çã®å
å®¹ãæ¯ã®ç¶æ
ã«ãã£ãŠç°ãªããŸãããäžè¬çã«1ïœ3幎çšåºŠã§ãã
ã»æåã¯é£äºãæ¯ç£šã以å€ã®æéãè£
çãããã®åŸãæ¯ãå®å®ããŠãããå€éã®ã¿ãªã©ãåŸã
ã«çãããŠãããŸãã
ã»æç€ºãããæéã¯å¿
ãè£
çãç¶ããããšãéèŠã§ãã
ã»æŽã£ãæ¯äžŠã³ãç¶æããããã就坿ã®ã¿ã§ãçæ¶¯ã«ãããè£
çãç¶ããããšãæšå¥šãããããšããããŸãã
ã»è£
çãå¿ãããšåŸæ»ããçãããªããŒããŒãåããªããªãå¯èœæ§ããããŸãã
ã»é£ã¹ç©ãè£
眮ã«ã€ãããããæ¯ã磚ãã«ãããªããŸããç¹ã«ã¯ã€ã€ãŒãããã®éšåã«æ±ããæºãŸããããã®ã§ãä»äžã磚ãããããªã©ãå®¶æã®ãµããŒããå¿
èŠã«ãªãããšããããŸãã
ã»åºå®åŒã®ãã®ã¯ããèªèº«ã§ã¯åãå€ããŸããã
ã»åºå®åŒã®ãã®ã¯ãæ¯ç£šãããã¡ããšã§ããŠããªããšè«æ¯ãçºçãããªã¹ã¯ãé«ãŸããŸãã
ã»åãå€ãåŒã®ãã®ã¯ãæ¯æ¥ã®è£
çãæ ããšãè¯å¥œãªæ²»ççµæãåŸãããªãããšããããŸãã
éšåç¯æ£
ã»æ©èœæ§ãå¯©çŸæ§ãéèŠãããããå
¬çå¥åº·ä¿éºå¯Ÿè±¡å€ã®èªè²»èšºçãšãªããŸããè©³çŽ°ã¯æ¯ç§å»åž«ã«ã確èªãã ããã
ã»åæ¯6æ¬ã ããæ²»ãæ¹æ³ãªã®ã§ãåã¿åããã¯æ¹åã§ããŸãããåã¿åããã®æ¹åãåžæãããæ¹ã¯ãå
šé¡ã®ç¯æ£æ²»çãå¿
èŠãšãªããŸãã
ã»çç¶ã«ãã£ãŠã¯ãã§ããŒãã®åæ¯ããããã«äžŠã¶ã¹ããŒã¹ã確ä¿ãããããæ¯ãšæ¯ã®éãåãå¿
èŠããããŸãããããããšãã¡ã«è³ªïŒæ¯ã®è¡šé¢ïŒã0.3ïœ0.8mmã»ã©åãçšåºŠãªã®ã§ãæ¯ãžã®æ¯éã¯ã»ãšãã©ãããŸããã
ã»åæ¯ã ãã®æ²»çãšãªãåããéãããŠããã®ã§ãçç¶ã«ãã£ãŠã¯åžæã©ããã«ä»äžãããªãããšããããŸãã
























