
審美治療
cosmetic- 延藤歯科クリニック ホーム
- 審美治療
セラミック治療

陶器に使われるセラミックという素材を使って被せ物や詰め物を作製し、患部に装着する治療です。むし歯を治療したところは銀歯がよく使われますが、銀色の金属なので目立ってしまいます。セラミックは白い素材で、天然歯の質感に近い透明感をもっています。銀歯と違って自然な口元を演出でき、歯を気にせずに笑顔になれます。さらに生体親和性が高くしっかり装着でき、2次むし歯のリスクが軽減します。セラミックの表面は滑らかなため汚れや色が付着しにくく、長く美しい白さを維持できます。
セラミックにもいくつかの種類があり、奥歯に使用する場合は耐久性が高いジルコニアというタイプを検討することも可能です。患者さまの症状に合わせ、機能性と審美性の両方を追求した治療をご提案します。
メタルフリー治療について

これまでのむし歯治療により、お口の中に銀歯がある方もいらっしゃると思います。金銀パラジウム合金を使った銀歯は見た目が悪くなるだけでなく、金属アレルギーを起こす可能性があります。こうした銀歯のリスクを解消できるのが、金属を含まない素材で補綴物を作製するメタルフリー治療です。
白く透明感のあるセラミックは金属を含まず、体にもなじみやすい素材です。いま使っている銀歯に悩んでいる方もご相談ください。
当院のセラミック治療の
特長

IOS(3D口腔内スキャナー)を
活用した精密な治療
歯を自然に美しく見せられるセラミック治療ですが、噛み合わせを整えることが最大の目標になります。そのために検査の段階で精密な歯型を取る必要があります。延藤歯科クリニックでは歯をなぞることで歯型を得られるIOS(3D口腔内スキャナー)を導入しており、より精度の高い歯型をデータにできます。噛み合わせが正しくなるとともにセラミックの補綴物の形態もきれいに整い、見た目の美しさにも大きく貢献します。
※IOS:Intra Oral Scanner

機能(噛み合わせ)と美しさの
両立
詰め物や被せ物といった補綴物の治療で大切なのが、歯の機能性を回復することです。むし歯などによって歯を削ると噛み合わせが崩れてしまい、そのままにしていると一部の歯に大きな負担がかかるなどして歯列全体の健康を損ないます。
当院のセラミック治療では歯の美しさを追求するだけでなく、「噛み合わせを専門にする医師」の視点から、ほかの歯への負担まで計算した設計を行ないます。これにより、美しさが長持ちするだけでなく、お口全体の健康維持にもつながります。

多様な実績を持つ技工所との連携
詰め物や被せ物は、作製する歯科技工士の技術力がその精度を大きく左右します。当院では、審美性と機能性の両立に優れた技術を持つ「株式会社カロス」と密に提携しています。専属の歯科技工士に直接依頼できる体制を整えているため、患者さまのご希望を細部までスムーズに反映することが可能です。熟練の技工士と歯科医師がチームとなり、一人ひとりのお口に調和する、精度の高いオーダーメイドの補綴物をご提供します。
セラミック治療の種類

ジルコニア
セラミックの一種であるジルコニアは、強度の高さが大きな特徴です。セラミックは割れやすいという性質がありますが、ジルコニアは割れにくいので奥歯に使うこともできます。セラミックに美しさでは劣るものの透明感のある白さを確保でき、表面は滑らかで清潔に保てます。金属アレルギーを起こす心配もありません。

ジルコニアボンド
補綴物のフレームをジルコニアで作製し、その表面にセラミックを加工したものです。セラミックの美しさを演出するとともに、ジルコニアの性質によって強度を高められます。奥歯のように負荷がかかるところにも透明感の高い補綴物を装着できます。セラミックの弱点でもある強度を補い、なおかつ審美性の高さも維持できます。
セラミック治療の症例
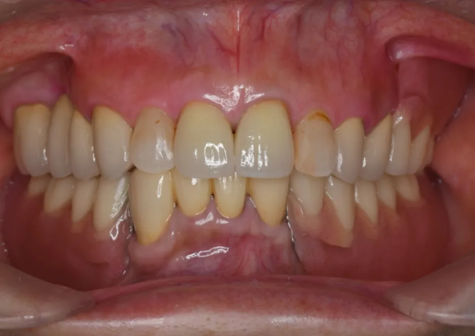
治療前

治療後

| 治療名称・年齢 | セラミックかぶせと金属床義歯作製による機能と審美改善 67歳 |
|---|---|
| 総額 治療費用 | 178万円 |
| 総治療期間 | 1年間 |
| 通院頻度 | 2~3週間に1回 |
| 症状 | 入れ歯が合わなくて、入れ歯の下の歯茎が痛む。 特に左で食事ができない。見た目がガタガタしているのが悩み。 |
| 治療方法 | ①むし歯と歯の神経の治療を行いました。 ②仮歯と借入れ歯を装着して、見た目、咬み心地が問題ないか体験してもらいました。 ③仮歯はセラミックのかぶせ、仮入れ歯は金属で薄く丈夫な入れ歯に置き換えて終了しました。 |
| 治療結果 | 入れ歯が痛くなく、食事ができるようになりました。 最初は、かぶせの金属や、入れ歯の金具が見えていましたが、最終のセラミックとかぶせで審美性が改善しました。 |
| リスク/副作用 | メンテナンスや、セルフケアを怠ると、セラミックかぶせの中が再度むし歯になる可能性があります。 金属床の義歯を定期的に調整を怠ると、義歯性口内炎を発症することがあります。 |
セラミック治療の費用
セラミック インレー
セラミック クラウン
ラミネートベニア
審美治療の一般的な治療期間・回数
【詰め物・被せ物治療】治療期間:2週~2ヵ月、治療回数:2~4回
【ラミネートベニア】治療期間:1~2週、治療回数:3~5回
※治療期間・回数は症状や治療の進行状況などにより変化します。あくまで参考程度にお考えいただき、詳細は歯科医師にご確認ください。
ホワイトニング

漂白成分を含むホワイトニング剤を歯に塗布し、着色している歯を明るい白色に仕上げられます。
歯の着色を落とせる施術としてはクリーニングもありますが、加齢などによる黄ばみまでは落とすことができません。ホワイトニングは歯の内側にある色素を分解するので、加齢などを原因とした着色にも作用します。
歯に着色が見られると表情に自信がもてず、自然に笑えないこともあります。ホワイトニングは永久的に効果が続くものではありませんが、お仕事やパーティー、結婚式のように大切なイベントに合わせて施術を進めることができます。口元が白くなると印象が明るくなり、会話も弾むようになります。ホワイトニングで自然な明るい笑顔を手に入れてみませんか?
ホワイトニングは
こんな方におすすめ
- 大切なイベントを控えているので歯を白くしたい
- 人前で話すことが多い仕事なので口元が気になる
- 加齢による歯の黄ばみが目立ってきた
- 歯の色を長年コンプレックスに感じている
- 相手の第一印象が良くなるようにしたい
- 歯を白くして自分の表情に自信をもちたい
当院のホワイトニング治療

ホームホワイトニング
当院では、ご自宅でお好きな時間にじっくりと進めていただく「ホームホワイトニング」を提供しています。専用のマウスピースを作製し、薬剤を用いて徐々に歯を白くしていくため、自然な仕上がりになり、効果が長続きするのが特長です。なお、当院では質の高いホームケアを重視しているため、歯科医院で行なう「オフィスホワイトニング」をご希望の患者さまには、信頼のおける提携他院をご紹介させていただいています。患者さまの理想に合わせた適切な方法をご提案します。
ホワイトニングの費用
ホームホワイトニング(全顎)
ホームホワイトニング(片顎 or 部分)
審美治療の一般的な治療期間・回数
【ホームホワイトニング】治療期間:2週~2ヵ月、治療回数:1~14回
※治療期間・回数は症状や治療の進行状況などにより変化します。あくまで参考程度にお考えいただき、詳細は歯科医師にご確認ください。

笑顔に自信、鏡を見るのが
楽しみに。
あなたの本来の輝きを
引き出す、
セラミック治療と
ホワイトニング
あなたに合った白い歯を手にしたい方は、まずカウンセリングへお越しください。
担当スタッフが丁寧に対応し、治療法の概要や施術にかかる費用などについてご説明します。
一般的なリスク・副作用
審美治療・セラミック治療
・審美治療としてセラミック治療を行なう場合、自費(保険適用外)での診療となります。詳細は歯科医師にご確認ください。
・事前に根管治療(神経の処置)やコア(土台)の処置が必要となることがあります。
・治療では歯を削ることがあります。また、知覚過敏を発症することがあります。
・抜髄(神経の処置)や抜歯が必要になることがあります。
・抜歯や外科処置をともなう場合、出血や腫脹(しゅちょう)を生じることがあります。
・治療で歯肉を移植する場合、二次的な出血・疼痛・腫脹(しゅちょう)が見られることがあります。
・治療後、自発痛、咬合痛、冷温水痛を生じることがあります。
・歯ぎしり・食いしばりなどの癖や噛み合わせによっては、補綴物が破損することがあります。
・セラミック製の補綴物は、金属製の補綴物よりも歯を削る量が多くなることがあります。
・噛み合わせ・歯ぎしりの強い方は、セラミックの破損を防止するため、マウスピースをおすすめすることがあります。
口腔内スキャナーを用いた治療
・光学的に口腔内の印象を採得し、ディスプレイに表示して診療や患者さまへのご説明に使用したり、採得した3Dデータに基づき、マウスピース型矯正装置や補綴物などの設計・製造に使用します。
・口腔内スキャナーを使用して行なう治療のうち、マウスピース型矯正装置を用いた治療やセラミックの補綴物の作製などは、機能性や審美性を重視するため、公的健康保険対象外の自費診療となります。詳細は歯科医師にご確認ください。
・印象剤を使用した従来の印象採得に比べ、印象採得時の不快感は大幅に軽減されますが、お口の中にスキャナーが入るため、ごくまれに多少の不快感を覚えることがあります。
ホームホワイトニング
・審美性を重視するため自費(保険適用外)での診療となります。詳細は歯科医師にご確認ください。
・薬剤のおもな成分、過酸化尿素には歯の表面の保護膜を溶かす作用があります。保護膜が元に戻るまでの24~48時間程度は、歯の表面が荒れやすくなります。
・薬剤が歯の神経に刺激を与えるため、知覚過敏・疼痛・冷水痛などの症状が生じることがあります。
・歯の厚さや薬剤の効果が現れにくい部分があることなどにより、白さにムラがでることがあります。歯の形状には個人差があるため、実際に施術をしないと結果はわかりかねます。
・低濃度の薬剤で時間をかけて白くするので、効果が現れるまで時間がかかります。
・ご自分で行なうため、白さの調整が難しく、仕上がりの予測がつきにくくなります。
・ご自分で行なうため、薬剤の量やマウスピースの使用法などが適切であるか、自己判断が難しくなります。
・施術後は、白さを維持するためのメンテナンスが必要になります。




